

Review Rating
5.0
Early Language Assessment
Early language assessment involves the systematic evaluation of a child's language skills and development during the early stages of their life, typically between the ages of birth to five years.
Early language assessment aims to identify any potential delays or difficulties in language acquisition and provides a foundation for early intervention and support.
Read More

Speech Assessment
Subjective Assessment:
Subjective assessment is an essential component of the evaluation process. It involves perceptual assessment by trained speech-language pathologists (SLPs) who listen and analyze the quality of speech, including aspects such as articulation, resonance, and intelligibility. Perceptual assessment helps SLPs identify and categorize speech errors, assess speech intelligibility, and determine the impact of cleft palate on communication.
Objective Assessment:
Objective assessment tools are employed to gather quantitative data and provide a more objective measure of speech characteristics.
Nasometry: Nasometry is a tool used to measure nasalance, which quantifies the balance between oral and nasal resonance during speech. It helps evaluate hypernasality and the effectiveness of treatment interventions.
Nasoendoscopy: Nasoendoscopy involves the insertion of a thin, flexible endoscope through the nose to visualize the velopharyngeal mechanism during speech. It provides direct visualization of velopharyngeal closure and helps assess velopharyngeal dysfunction (VPD).
Videofluoroscopy(VFS): By capturing real-time images, videofluoroscopy allows for a detailed assessment of velopharyngeal function, including the movement and coordination of the soft palate, lateral pharyngeal walls, and posterior pharyngeal wall. This objective assessment tool assists speech-language pathologists and other healthcare professionals in diagnosing and managing velopharyngeal dysfunction in individuals with cleft palate and related conditions.
ENT program: In our department, we recognize the importance of regular audiometry and tympanometry evaluation in the prevention of complications and minimizing the impact of hearing loss on speech development in individuals with cleft lip and palate. These evaluations are integral to our comprehensive care approach.
Read MoreTreatment and Therapy
Based on the assessment results, we develop personalized treatment plans tailored to each patient's unique needs. We provide strategies to enhance language development and communication skills. Our therapists use evidence-based techniques and the latest technologies to optimize outcomes and ensure the best possible results for our patients.
Our department utilizes a combination of individual therapy, resonance training, group sessions, and specialized events like speech therapy camps to deliver comprehensive care and support to individuals with cleft palate. The availability of teletherapy options ensures continuity of care and greater accessibility for patients, regardless of their location.
Read More

Collaborative Approach
We strongly believe in a collaborative approach to care. We work closely with other healthcare professionals involved in the patient's treatment, including surgeons, orthodontists, psychologists and other health professionals.
Regular team meetings and discussions ensure that all aspects of the patient's care are addressed holistically, promoting optimal outcomes and enhancing the patient's overall well-being.
Read MoreFamily Education and Support
We understand that caring for a child with cleft lip and palate can be overwhelming for families. That's why we provide education and support to families, empowering them to actively participate in their child's therapy journey.
We offer guidance on home exercises, techniques, and strategies that can be incorporated into daily routines to maximize progress. We also organize support groups and educational workshops to foster a sense of community and provide a platform for families to connect and share experiences.
Read More

Research and Innovation
As a leading center in cleft care, we are committed to advancing the field through research and innovation.
Our team actively participates in research projects, staying at the forefront of the latest developments in cleft speech and language therapy. This ensures that our patients receive the most up-to-date and effective treatments available.
Read MoreWelcome to VPD Clinic
At VPD Clinic, we specialize in the diagnosis and treatment of Velopharyngeal Dysfunction (VPD). Our team of experts is committed to providing comprehensive care for patients experiencing speech and resonance issues related to VPD.
Utilizing the latest technology and evidence-based practices, we offer personalized treatment plans to help improve speech clarity and overall quality of life. Perceptual speech assessment is the gold standard to identify VPD. However it should be substantiated with instrumental assessment for evidence based practice.
State of art instrumentation available to identify VPD in any age group
In our cleft leadership center we are equipped to conduct indirect assessment like nasometry and direct imaging using nasoendoscopy, videofluroscopy or Magnetic resonance imaging to confirm VPD.
Read More

Nasometry
Nasometry measures the acoustic energy emitted from the nose and mouth during speech, providing valuable data on nasal resonance and airflow.
This non-invasive procedure helps our specialists identify the extent of velopharyngeal dysfunction and develop personalized treatment plans to improve speech quality.
Read MoreNasoendoscopy
Nasoendoscopy is a minimally invasive procedure that allows our specialists to closely examine the velum, lateral pharyngeal wall and posterior pharyngeal wall using a thin, flexible scope.
This detailed view helps us accurately assess and diagnose speech and resonance issues, ensuring precise and effective treatment plans. Experience expert care and state-of-the-art diagnostics with our nasoendoscopy services at VPD Clinic.
Read More

Videofluoroscopy
Videofluoroscopy is a dynamic X-ray procedure that captures real-time video images of swallowing and speech mechanisms.
This advanced diagnostic tool allows our specialists to precisely assess the movement and coordination of the velopharyngeal structures, leading to accurate diagnosis and tailored treatment plans for individuals with Velopharyngeal Dysfunction (VPD).
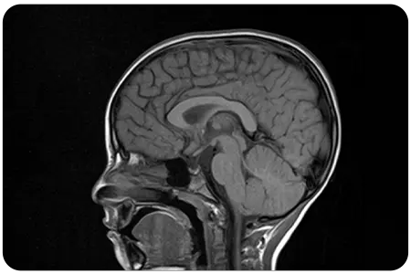
Read MoreMagnetic Resonance Imaging
MRI is a non-invasive imaging technique that uses powerful magnets and radio waves to create detailed images of soft tissues, offering unparalleled insight into the anatomy and functionality of the velopharyngeal mechanism.
Our specialists use MRI to precisely diagnose Velopharyngeal Dysfunction (VPD) and develop effective, individualized treatment plans.
Read More
Our Team
“THE PATIENT COMES FIRST" – is our team's motto and every member is committed to ensuring the complete well-being of our patients.
Advice and Resources
The journey of a child with cleft is long drawn and it is natural for parents or patients to have questions regarding the treatment or next stages.
We at Bhagwan Mahaveer Jain Hospital nurture and support an interactive holistic care where patients remain at the apex of our treatment goals, and we ensure they remain well informed throughout.
Please feel free to contact our team.