

Review Rating
5.0
Infancy (0-2 years)
Assessment and Early Intervention: The Pediatric dentist assesses the severity of the cleft and provides immediate guidance to parents on feeding techniques tailored to the child's specific needs. This comprises of guidance regarding type of bottle, spoon or palaada that can be used along with how it should be used to ease the process of feeding for both the care giver as well as the child. The importance of breast milk and techniques of expression and storage are explained to the mother for improving the child’s nutritional status.
Preventive Measures: Initiates preventive oral care measures, such as educating parents on maintaining oral hygiene after every feed. Presence of neonatal teeth is assessed and appropriate decision to retain or extract the teeth is made. Potential issues related to early tooth eruption are addressed. Parents are taught how to brush the child’s teeth right from the very first one that erupts and is followed up to ensure a healthy cavity free oral condition.
Read More

Toddler to Preschool (2-5 years)
Orthodontic Guidance: Collaborates with orthodontists to monitor and guide oral and facial development, potentially using orthodontic appliances to enhance alignment. Orofacial massage is taught to allow the facial muscles and bones to grow to their complete potential despite the surgical intervention.
Sleep Monitoring: 68% of children with cleft are mouth breathers and this can have long lasting consequences on the quality of life by negatively affecting brain development and overall growth of the child. Nasal breathing is encouraged and myo-exercises are taught. Appliances are delivered for the child to wear to augment appropriate jaw growth that facilitates nasal breathing. Referral to the surgeons for any intervention to correct structural abnormalities is done.
Preventive and Therapeutic Dental Treatment: Children begin to have a primarily solid diet. Sticky and sugar-containing foods are consumed more unsupervised. This increases the chances of tooth decay. Prevention of decay can be employed in the form of home oral hygiene measures, diet regulation, in-office fluoride varnish application and various other techniques to suit each child’s needs. In case of decayed teeth, therapeutic treatment – fillings/restorations, stainless steel crowns, pulp therapy is provided to ensure a cavity-free oral cavity.
Read MoreEarly Childhood (6-12 years)
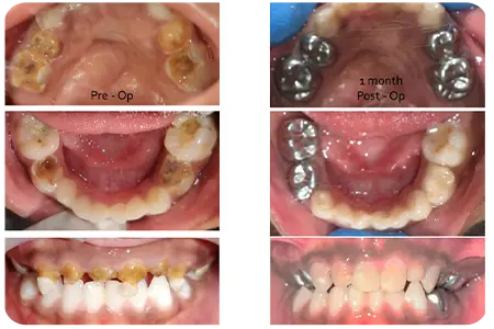
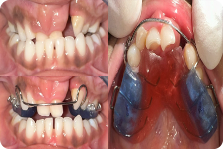
Preventive and Interceptive Orthodontic Treatment: Implements orthodontic interventions to address dental anomalies and guide proper jaw alignment. Space maintainers, extractions and space regainers as required for the child to have an appropriate tooth alignment are planned.
Preventive and Therapeutic Dental Treatment: Most commonly, children begin to brush themselves at this age and there is an increased incidence of carious teeth in this age group. Preventive measures are reinforced. Therapy for affected teeth is provided. Oral hygiene with orthodontic appliances is taught and followed up.
Read More

Adolescence (13-18 years)
Patient Education: Educates the adolescent on self-care practices, emphasizing the importance of oral hygiene and compliance with any orthodontic or post-surgical recommendations.
Dental Rehabilitation: Missing teeth are replaced. Any hidden or apparent carious teeth are treated and normal form and function is restored post completion of orthognathic surgical repair and orthodontic alignment.
Read MoreThroughout the Journey
Continuous Monitoring: Regularly monitors the child's oral health, adapting interventions as needed throughout different developmental stages.
Multidisciplinary Collaboration: Works in tandem with oral surgeons, speech therapists, and other specialists to ensure a coordinated and comprehensive care approach.
Psychosocial Support: Recognizes and addresses potential psychosocial impacts on the child, providing support and resources to enhance overall well-being.
The emphasis is on comprehensive care, encompassing oral health, facial aesthetics, speech development, and psychological well-being, with a tailored approach that evolves with the child's growth and development.
Read More
Our Team
“THE PATIENT COMES FIRST" – is our team's motto and every member is committed to ensuring the complete well-being of our patients.
Advice and Resources
The journey of a child with cleft is long drawn and it is natural for parents or patients to have questions regarding the treatment or next stages.
We at Bhagwan Mahaveer Jain Hospital nurture and support an interactive holistic care where patients remain at the apex of our treatment goals, and we ensure they remain well informed throughout.
Please feel free to contact our team.